PDF version of this entire document

Exploration of 3-D NRR

Presented in this section are several examples of my work on NRR assessment in 3-D. These examples are to be treated as proof of concept because no large-scale experiments were performed. I intended to show that, from a practical point of view, it was possible to perform the aforementioned experiments in 3-D. There are also potential barriers to it, as Chapter 9 will explain. Data and methods were kept fairly simplistic in the following short investigation. Due to unimportance of the nature of the imaged objects, at least in this particular case, unregistered images were used to test the fully-implemented algorithm which assesses NRR using training and synthetic 3-D images.

In order to make use of the algorithm in this set of tests, I took 8 separate images, allocating 4 of them to serve as training images and allocating the other 4 to be treated as pseudo-synthetic images. There was no actual synthesis involved because the scope of this experiment remained limited. I then ran my 3-D algorithm, eventually calculating the average of all shuffle difference images, which were built `on the fly'.

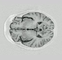
Figure: A brain slice from one among the 8 three-dimensional images
Image slice_bad_contrast

The figures included in this section only show a central slice (25$^{th}$ among 51), extracted from one of the 3-D volumes on which I ran these tests. This selection is rather arbitrary as all slices and images were treated equally. An example image in its raw form, as shown in Figure [*], needed to be scaled differently in order for the image to be properly displayed (see Figure [*]).

Localised registration errors could be calculated based on image intensity and I demonstrated this idea by considering an accumulation of difference images. Rather than do this in 2-D, I ran the algorithm in 3-D, so all outputs were in essence image slices.

Figure: The image from Figure [*] rerendered for proper viewing
Image slice_recovered

The image of interest is one which shows the average over all shuffle difference images (volumes in this case). It can be seen in Figure [*], which represents the average of 8 shuffle difference images and is derived from images like the one in Figure [*]. In this case, it directly corresponds to it.

Figure: An accumulated shuffle difference image for the slice of interest
Image accumulated_difference_image_slice

Figure: Average shuffle distance image that highlights localised mismatch.
Image average_shuffle_distance_image

Overall, this work helped in demonstrating that the algorithm runs properly in 3-D. It should therefore be capable of performing studies of the quality of 3-D NRR, but empirical evidence is still needed. Other interesting experiments would take the median rather than the mean over the accumulated shuffle difference images.

Roy Schestowitz 2010-04-05